Skip to main content

metamorfozy
efekty leczenia implantologiczno-protetycznego


metamorfozy

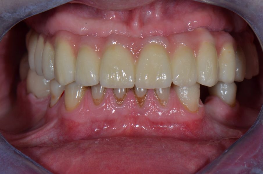
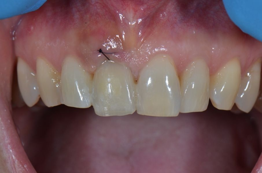
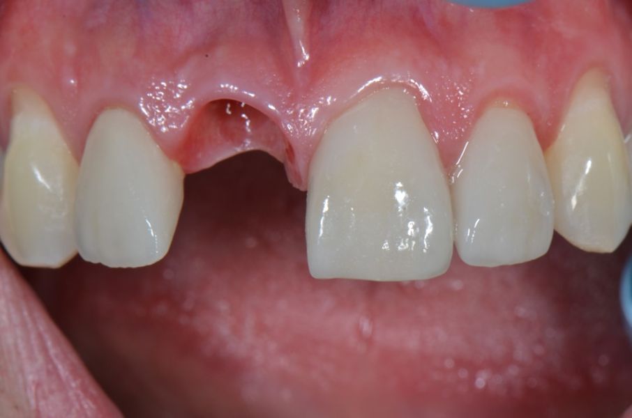
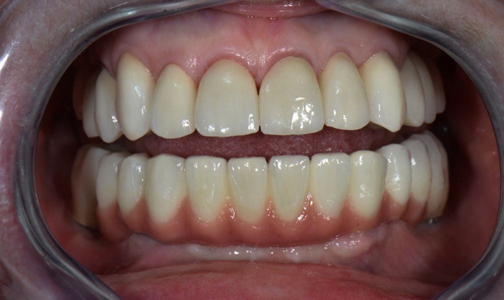
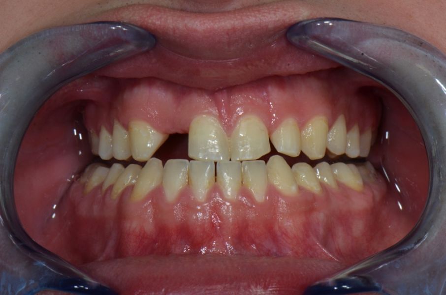
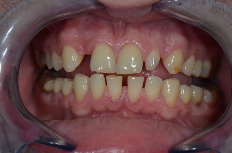
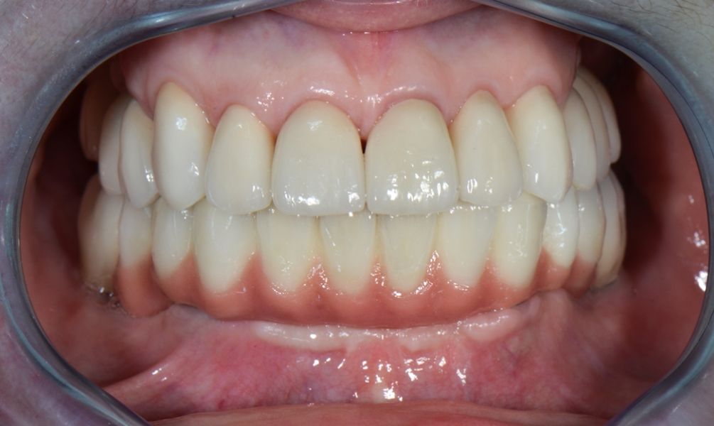
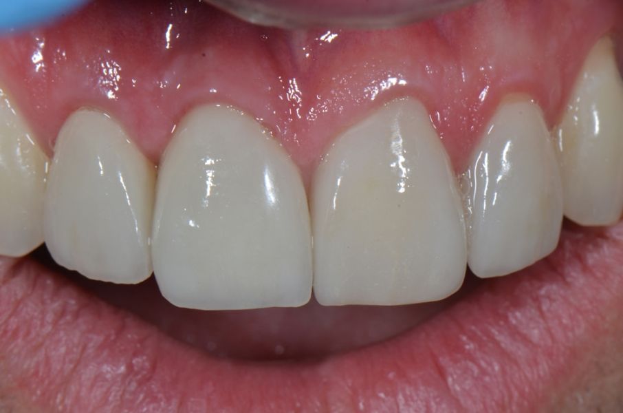
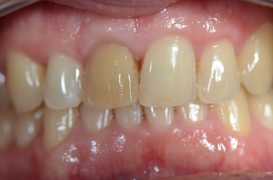
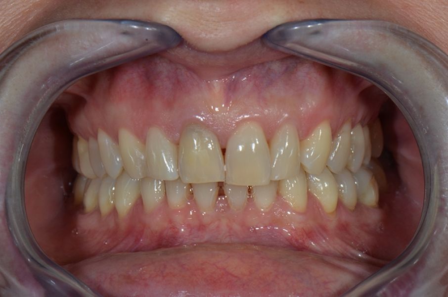
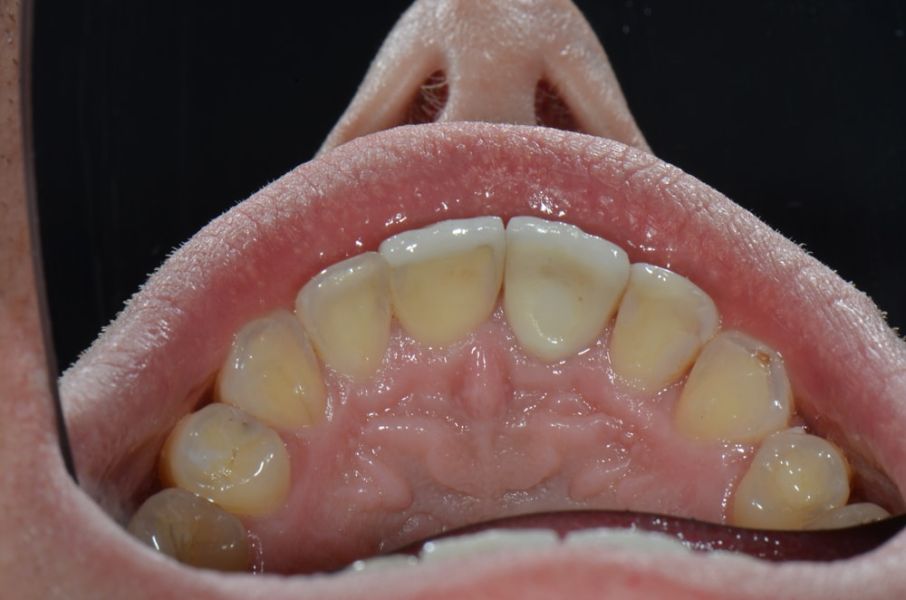
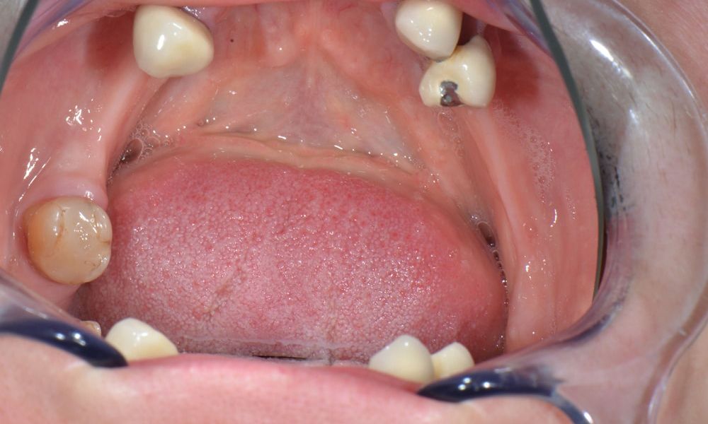
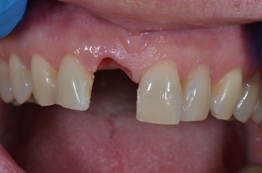
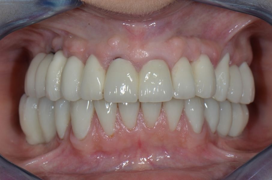
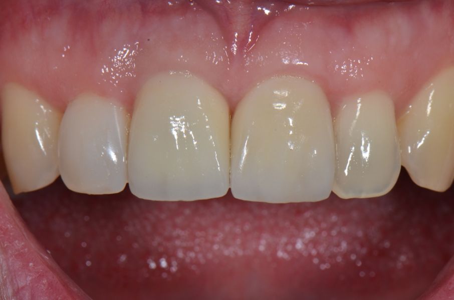
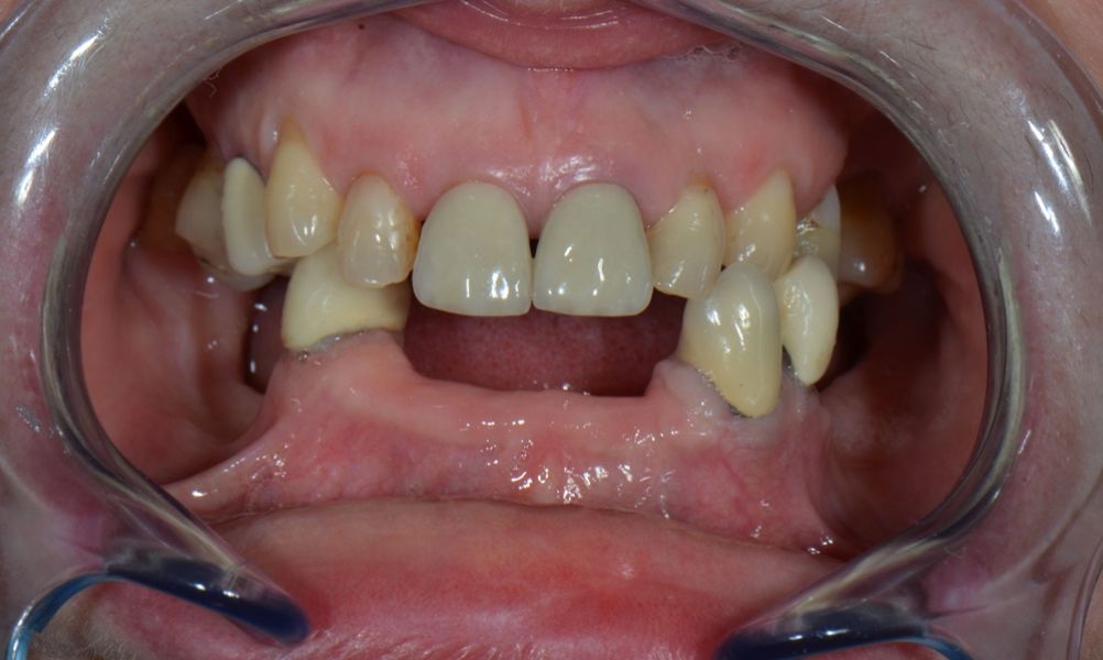
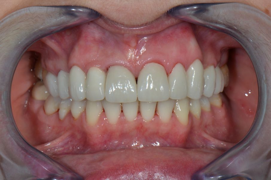
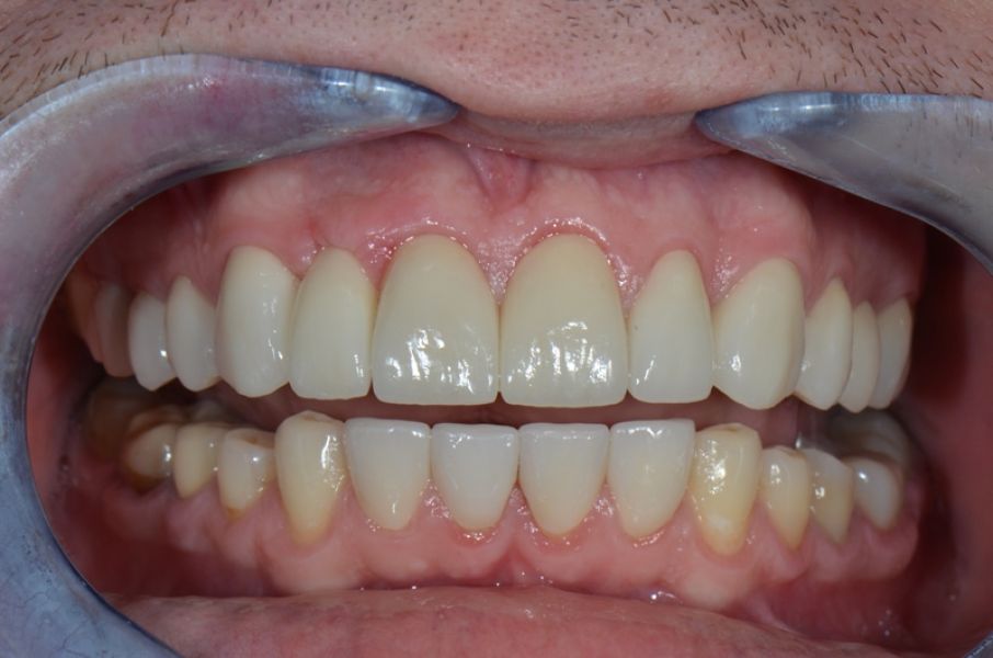
Metamorfoza #1

Pacjent zgłosił się do nas z chęcią poprawy uśmiechu. By spełnić jego oczekiwania lek. stom. Piotr Mikołajczyk usunął martwą jedynkę (ząb miał pęknięty korzeń i nie nadawał się już do leczenia), a w jej miejsce wszczepił implant. Zabieg implantacji odbył się na tej samej wizycie co ekstrakcja zęba, jednak obciążenie implantu, czyli inaczej mówiąc założenie korony protetycznej zostało odroczone w czasie. W okresie gojenia się wszczepu nasz pacjent nosił koronę tymczasową. Gdy implant zrósł się z kością, wykonano pracę protetyczną: koronę na implancie oraz licówki na sąsiadujących zębach.

Pacjent: mężczyzna, 40+ lat
Czas leczenia ogółem: 4 miesiące
Zabiegi: ekstrakcja, implantacja
Prace: korona protetyczna na implancie, licówki

Efekty uzależnione są od wyjściowego stanu zębów i jamy ustnej, trybu życia pacjenta, czynników osobniczych (genetycznych), stosowania się do zaleceń lekarskich przed, w trakcie oraz po zakończeniu terapii, a także od ilości wykonanych zabiegów oraz doświadczenia i umiejętności osoby, która wykonuje zabieg.
metamorfozy

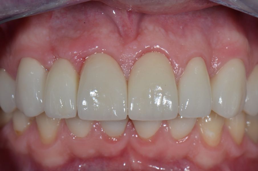
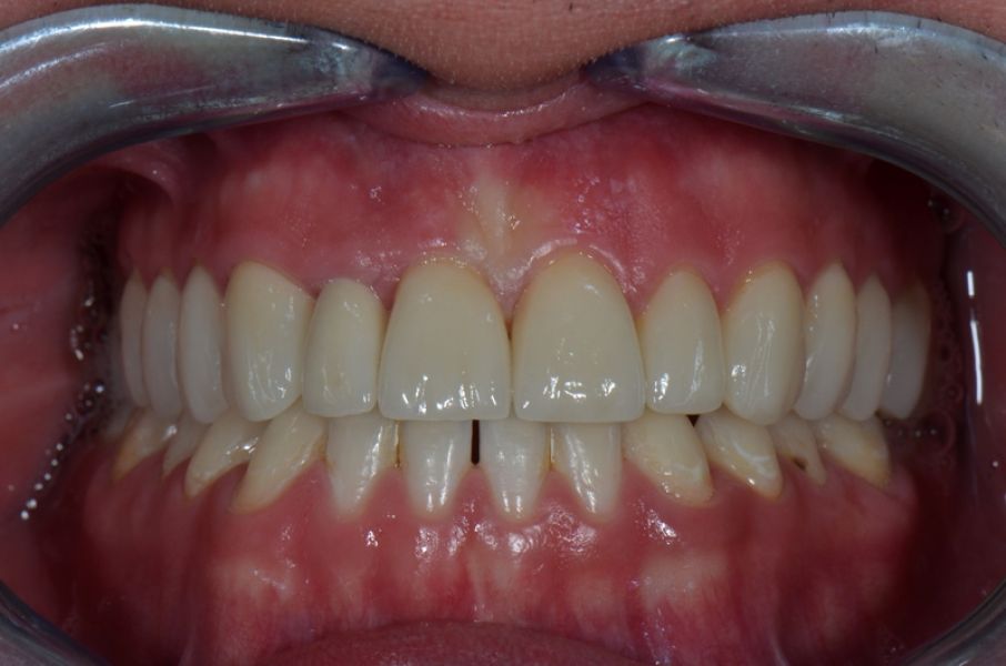
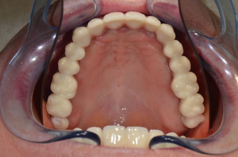
Metamorfoza #2

Pacjentka trafiła do nas z problemem ruszającej się dolnej protezy. Dodatkowo nie była zadowolona z wyglądu swojego uśmiechu. W efekcie leczenia pacjentka uzyskała pożądany uśmiech, który został osiągnięty przez osadzenie mostu na sześciu implantach na dolnej szczęce oraz korony protetyczne w szczęce górnej. Widoczne w moście otwory zamykamy materiałem kompozytowym.

Pacjent: kobieta, 60+ lat
Czas leczenia ogółem: 6 miesięcy
Zabiegi: podniesienie dna zatoki (sinus lift), ekstrakcja, implantacja
Prace: korony protetyczne, most na 6 implantach

Efekty uzależnione są od wyjściowego stanu zębów i jamy ustnej, trybu życia pacjenta, czynników osobniczych (genetycznych), stosowania się do zaleceń lekarskich przed, w trakcie oraz po zakończeniu terapii, a także od ilości wykonanych zabiegów oraz doświadczenia i umiejętności osoby, która wykonuje zabieg.
metamorfozy

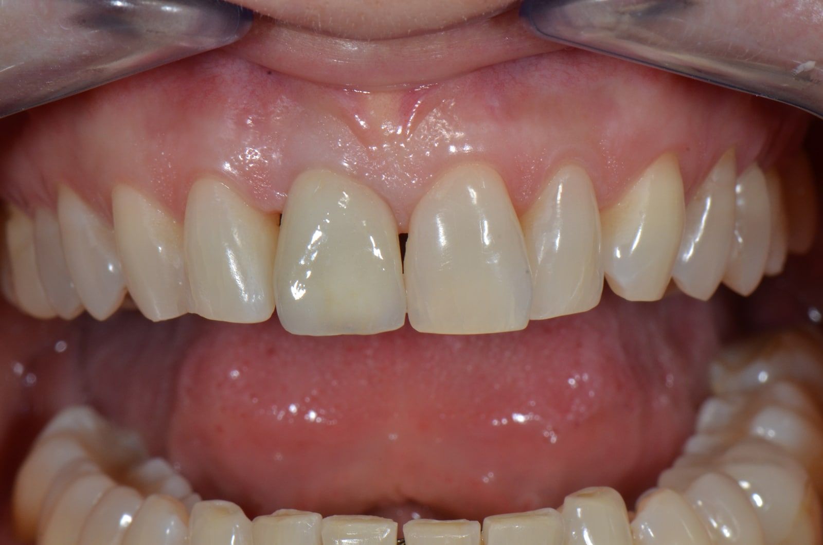
Metamorfoza #3

Przed leczeniem pacjentka użytkowała protezę teleskopową osadzoną na zębach własnych. Lek. stom. Piotr Mikołajczyk wykonał u pacjentki most na implantach. W tym przypadku poządanym zabiegiem było podniesienie dna zatoki szczękowej, jednak pacjentka miała przeciwwskazania do wykonania tego zabiegu. By go uniknąć implanty wszczepiono w dalszej pozycji, na wysokości „ósemek”, gdyż tam występowały prawidłowe warunki kostne. Z tego też powodu, wykonaliśmy dla pacjentki tak długi mostr protetyczny.

Pacjent: kobieta, 60+ lat
Czas leczenia ogółem: 4 miesiące
Zabiegi: ekstrakcja, implantacja
Prace: most na 6 implantach

Efekty uzależnione są od wyjściowego stanu zębów i jamy ustnej, trybu życia pacjenta, czynników osobniczych (genetycznych), stosowania się do zaleceń lekarskich przed, w trakcie oraz po zakończeniu terapii, a także od ilości wykonanych zabiegów oraz doświadczenia i umiejętności osoby, która wykonuje zabieg.
metamorfozy

Metamorfoza #4

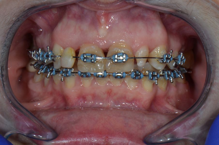
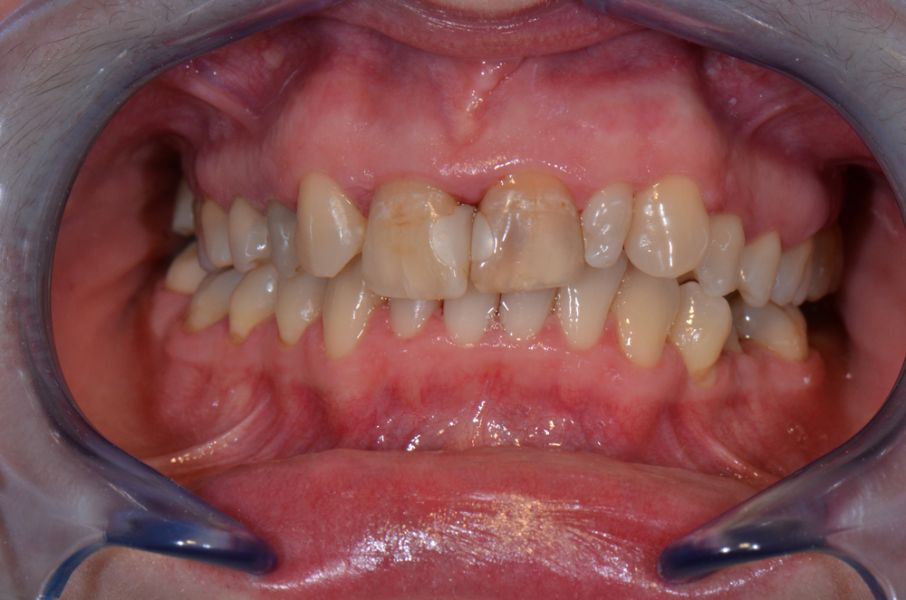
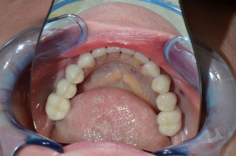
Pacjentka zmagała się z problemem wrodzonego braku prawej „dwójki” (hipodoncja) oraz przebarwieniami tetracyklinowymi, jak również nieprawidłowym zgryzem. Terapia rozpoczęła się od leczenia ortodontycznego. Kolejnym etapem było wszczepienie implantu w miejsce brakującej „dwójki”, obciążeniem go koroną protetyczną i osadzeniem licówek. Leczenie ze względu na konieczność ortodontycznego wyprowadzenia zgryzu było długotrwałe, jednak najważniejszym dla nas było to, by osiągnięty efekt był stabilny i bezkompromisowy.

Pacjent: kobieta, 40+ lat
Czas leczenia ogółem: ponad 1,5 roku
Zabiegi: leczenie ortodontyczne, implantacja
Prace: korona na implancie, licówki

Efekty uzależnione są od wyjściowego stanu zębów i jamy ustnej, trybu życia pacjenta, czynników osobniczych (genetycznych), stosowania się do zaleceń lekarskich przed, w trakcie oraz po zakończeniu terapii, a także od ilości wykonanych zabiegów oraz doświadczenia i umiejętności osoby, która wykonuje zabieg.
przykłady
leczenia implantologiczno-protetycznego i stomatologicznego wykonanego w naszym gabinecie

efekty leczenia stomatologicznego

Pacjent #1

Na tych zdjęciach możemy pokazać, jak wielką metamorfozę uśmiechu można osiągnąć leczeniem implantoprotetycznym. Nasz pacjent nie tylko zmienił swój uśmiech, ale także odmienił swoje samopoczucie. W tym przypadku lek. stom. Piotr Mikołajczyk wykonał natychmiastową implantację – implanty zostały wszczepione na tej samej wizycie, na której usunięto zęby. Efektem leczenia był naturalny, piekny uśmiech osiągnięty za pomocą mostu na sześciu implantach.

Pacjent: mężczyzna, 60+ lat
Czas leczenia ogółem: 4 miesiące
Zabiegi: ekstrakcja, implantacja
Prace: most na 6 implantach

Efekty uzależnione są od wyjściowego stanu zębów i jamy ustnej, trybu życia pacjenta, czynników osobniczych (genetycznych), stosowania się do zaleceń lekarskich przed, w trakcie oraz po zakończeniu terapii, a także od ilości wykonanych zabiegów oraz doświadczenia i umiejętności osoby, która wykonuje zabieg.
efekty leczenia stomatologicznego

Pacjent #2

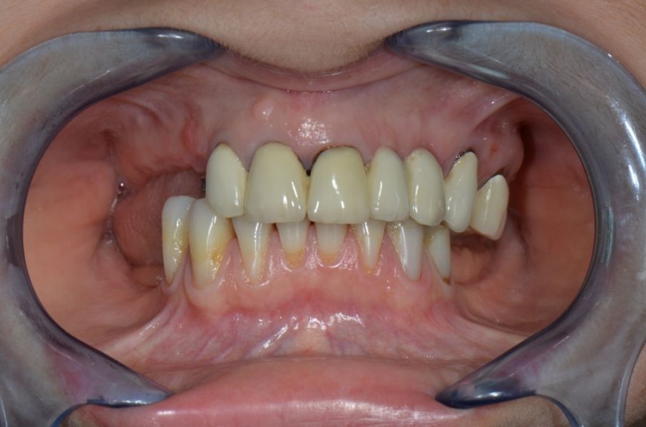
Pacjent zgłosił się do nas z brakami zębowymi w przednim odcinku szczęki górnej. Dodatkowym dużym problemem były konsekwencje zabiegu, który wykonano w innym gabinecie jakiś czas temu – podczas ekstrakcji otwarto zatokę, którą następnie zszyto w sposób nieprawidłowy (w efekcie policzek pacjenta został przyszyty do wyrostka zębodołowego). Praca naszego zespołu polegała więc na odwróceniu efektów dawnego leczenia oraz na uzyskaniu właściwej estetryki uśmiechu. Periodontolog Magdalena Baker wykonała przeszczep dziąsła z podniebienia z rekonstrukcją wskutek czego nastąpiło przesunięcie policzka do właściwej pozycji. Następnie implantolog Piotr Mikołajczyk wszczepił pacjentowi 4 implanty po stronie lewej i osadził na nich most. Po stronie prawej osadzono korony protetyczne.

Pacjent: mężczyzna, 60+ lat
Czas leczenia ogółem: 12 miesięcy
Zabiegi: sinus lift, przeszczep dziąsła z podniebienia z rekonstrukcją, ekstrakcja, implantacja
Prace: most na 6 implantach

Efekty uzależnione są od wyjściowego stanu zębów i jamy ustnej, trybu życia pacjenta, czynników osobniczych (genetycznych), stosowania się do zaleceń lekarskich przed, w trakcie oraz po zakończeniu terapii, a także od ilości wykonanych zabiegów oraz doświadczenia i umiejętności osoby, która wykonuje zabieg.
efekty leczenia stomatologicznego

Pacjent #3

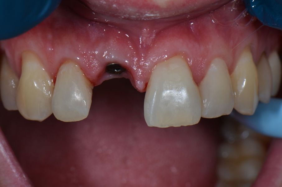
Pacjentka utraciła przedni siekacz z powodu resorpcji korzenia – jest to stopniowe rozpuszczanie tkanki kostnej w korzeniu zęba,wskutek czego korzeń osłabia się, stopniowo skraca a w końcu zanika; ząb zaczyna się ruszać i powstaje ryzyko jego wypadnięcia.

U pacjentki została wykonana ekstrakcja z augmentacją kości i natychmiastową implantacją.

Pacjent: kobieta, 40+ lat
Czas leczenia ogółem: 4 miesiące
Zabiegi: ekstrakcja, augmentacja, implantacja
Prace: korona na implancie

Efekty uzależnione są od wyjściowego stanu zębów i jamy ustnej, trybu życia pacjenta, czynników osobniczych (genetycznych), stosowania się do zaleceń lekarskich przed, w trakcie oraz po zakończeniu terapii, a także od ilości wykonanych zabiegów oraz doświadczenia i umiejętności osoby, która wykonuje zabieg.
efekty leczenia stomatologicznego

Pacjent #4

Pacjentka zjawiła się w gabinecie z potrzebą poprawienia estetyki uśmiechu. Efektem leczenia jest piękny uśmiech osiągnięty za pomocą licówek oraz koron na implantach.

Pacjent: kobieta, 40+ lat
Czas leczenia ogółem: 4 miesiące
Zabiegi: ekstrakcja, augmentacja, implantacja
Prace: korony na implantach, licówki

Efekty uzależnione są od wyjściowego stanu zębów i jamy ustnej, trybu życia pacjenta, czynników osobniczych (genetycznych), stosowania się do zaleceń lekarskich przed, w trakcie oraz po zakończeniu terapii, a także od ilości wykonanych zabiegów oraz doświadczenia i umiejętności osoby, która wykonuje zabieg.
efekty leczenia stomatologicznego

Pacjent #5

U tego pacjenta występował wrodzony brak „dwójki” oraz mikrodoncja drugiej „dwójki” w górnej szczęce. Charakteryzował się także dysproporcją zębowo-wyrostkową – w porównaniu do kości zęby były zbyt małe. Brak zęba zrekompensowano koroną na implancie, zastosowano również korony protetyczne. Na dolne zęby w odcinku przednim lek. stom. Piotr Mikołajczyk nałożył licówki. Pacjent przeszedł również zabieg periodontologiczny u lek. stom. Magdaleny Baker, która wykonała przesunięcie płata, by uzyskać pogrubione dziąsło w okolicy implantu.

Pacjent: mężczyzna, 30+ lat
Czas leczenia ogółem: 4 miesiące
Zabiegi: pogrubienie dziąsła, implantacja
Prace: korona na implancie, korony protetyczne, licówki

Efekty uzależnione są od wyjściowego stanu zębów i jamy ustnej, trybu życia pacjenta, czynników osobniczych (genetycznych), stosowania się do zaleceń lekarskich przed, w trakcie oraz po zakończeniu terapii, a także od ilości wykonanych zabiegów oraz doświadczenia i umiejętności osoby, która wykonuje zabieg.
efekty leczenia stomatologicznego

Pacjent #6

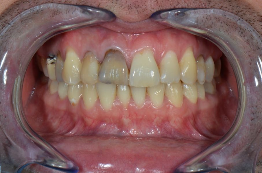
Pacjent trafił do nas po leczeniu ortodontycznym, z wadą o nazwie progenia, która kwalifikowała się do leczenia operacyjnego. Pacjent nie wyrażał zdody na operację zmniejszenia żuchwy (operacja w znieczuleniu ogólnym z zakresu chirurgii szczękowo-twarzowej). Po zaprojektowaniu uśmiechu metodą wax-up, czyli z pomocą diagnostycznego modelu woskowego. Następnie przeszedł deprogramację z użyciem aparatu Koisa. W następnej kolejności wykonaliśmy modele mock-up, czyli tymczasową nakładkę diagnostyczną pozwalającą przetestować funkcjonalność nowego uśmiechu. Kolejnym etapem było przygotowanie tymczasowej pracy protetycznej, by finalnie osadzić u pacjneta docelowe prace protetyczne (nakłady w odcinkach bocznych, korony trzyćwierciowe pełnoceramiczne na każdym zębie).

Pacjent: mężczyzna, 20+ lat
Czas leczenia ogółem: 2 miesiące
Zabiegi: implantacja
Prace: korona na implancie, korony protetyczne

Efekty uzależnione są od wyjściowego stanu zębów i jamy ustnej, trybu życia pacjenta, czynników osobniczych (genetycznych), stosowania się do zaleceń lekarskich przed, w trakcie oraz po zakończeniu terapii, a także od ilości wykonanych zabiegów oraz doświadczenia i umiejętności osoby, która wykonuje zabieg.
efekty leczenia stomatologicznego

Pacjent #7

Pacjentka zjawiła się u nas, by wymienić starą protezę szkieletową na zatrzaskach oraz korony na uzupełnienia protetyczne na implantach.

Pacjent: kobieta, 50+ lat
Czas leczenia ogółem: 4 miesiące
Zabiegi: implantacja
Prace: korony na implantach

Efekty uzależnione są od wyjściowego stanu zębów i jamy ustnej, trybu życia pacjenta, czynników osobniczych (genetycznych), stosowania się do zaleceń lekarskich przed, w trakcie oraz po zakończeniu terapii, a także od ilości wykonanych zabiegów oraz doświadczenia i umiejętności osoby, która wykonuje zabieg.
efekty leczenia stomatologicznego

Pacjent #8

Pacjent, młody mężczyzna, miał usuniętą „jedynkę” z powodu torbieli wielkości 12 mm. Po ekstrakcji wykonano u niego augmentację kości. Po upływie 3 miesięcy można było wykonać w tym miejscu implantację, a po kolejnych 3 miesiącach – osadzić koronę na implancie. U pacjenta wykonano także bonding „dwójki”, a na drugiej „jedynce” – licówkę. Wskutek leczenia uzyskano mocny, męski uśmiech.

Pacjent: mężczyzna, 40+ lat
Czas leczenia ogółem: 6 miesięcy
Zabiegi: augmentacja, implantacja
Prace: korona na implancie, licówka, bonding

Efekty uzależnione są od wyjściowego stanu zębów i jamy ustnej, trybu życia pacjenta, czynników osobniczych (genetycznych), stosowania się do zaleceń lekarskich przed, w trakcie oraz po zakończeniu terapii, a także od ilości wykonanych zabiegów oraz doświadczenia i umiejętności osoby, która wykonuje zabieg.